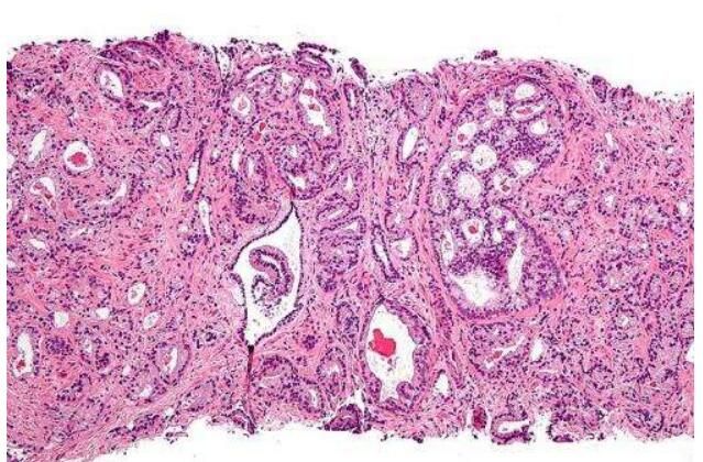
早期前列腺癌或许会成为恶性肿瘤细胞的“避风港”
发表时间:2022-01-22
点击数:350
近日,一篇发表在国际杂志European Urology上题为“Pre-existing Castration-resistant Prostate Cancer–like Cells in Primary Prostate Cancer Promote Resistance to Hormonal Therapy”的研究报告中,来自杜克大学医学院等机构的科学家们通过研究识别出了一种能发现前列腺癌潜在隐患的分子特征。
揭示维生素D激活机体树突状细胞耐受性程序的分子机制
发表时间:2022-01-22
点击数:272
近日,一篇发表在国际杂志Cell Reports上题为“Vitamin D receptor, STAT3, and TET2 cooperate to establish tolerogenesis”的研究报告中,来自西班牙的科学家们通过研究揭示了维生素D激活机体树突状细胞耐受程序的分子机制。
免疫疗法药物派姆单抗或有望治疗晚期子宫内膜癌
发表时间:2022-01-21
点击数:295
近日,一篇发表在国际杂志Journal of Clinical Oncology上题为“Pembrolizumab in Patients With Microsatellite Instability–High Advanced Endometrial Cancer: Results From the KEYNOTE-158 Study”的研究报告中,来自俄亥俄州立大学综合癌症中心等机构的科学家们通过进行一项国际II期临床试验发现,一种被FDA批准用于治疗多种形式癌症的免疫药物或能有效治疗侵袭性子宫内膜癌。
揭示线粒体脱落线粒体外膜应对感染引起的应激机制
发表时间:2022-01-21
点击数:290
在一项新的研究中,来自德国科隆大学和马克斯普朗克生物老龄化研究所等研究机构的研究人员推断,微生物感染可以作为研究细胞对天然线粒体外膜应激作出反应的模型。为此,他们选择了人类寄生虫弓形虫,因为它将宿主线粒体与它自身的寄生虫空泡捆绑在一起;在被感染的细胞中,宿主线粒体外膜与寄生虫空泡膜之间形成了紧密的膜贴合区域。
利用改造的病毒样颗粒在体内高效递送基因编辑蛋白到宿主细胞中
发表时间:2022-01-21
点击数:380
在一项新的研究中,来自美国布罗德研究所、加州大学欧文分校和宾夕法尼亚大学佩雷尔曼医学院等研究机构的研究人员开发出一种可以将基因编辑蛋白以足够高的效率递送到动物模型的细胞中并显示治疗效果的方法。相关研究结果于2022年1月11日在线发表在Cell期刊上,论文标题为“Engineered virus-like particles for efficient in vivo delivery of therapeutic proteins”。
浅谈学术论文中关键词的标引规则
发表时间:2022-01-21
点击数:303
所谓标引,是指对论文和某些具有检索意义的特征进行主题分析,并利用主题词表等检索工具,给出主题检索标识的过程。医思倍研究院认为,科技论文应按照叙词的标引的方法标引关键词,并尽可能将自由词规范为叙词。为此,应把握如下的关键词标引原则。
新型活检技术或有望分析多种肿瘤组织中的特殊生物标志物
发表时间:2022-01-19
点击数:273
近日,一篇发表在国际杂志Nature Communications上题为“Spatial transcriptomics using combinatorial fluorescence spectral and lifetime encoding, imaging and analysis”的研究报告中,来自加利福尼亚大学等机构的科学家们通过研究开发了一种新型的活检技术,其或能同时对多个肿瘤微环境生物标志物进行分析,并揭示细胞的空间组织和相互作用,进而帮助推进个体化的疾病诊断和治疗;当前的单一生物标志物活检技术并不能分析多种不同的生物标志物且经常不能成功预测患者的预后。
揭示多巴胺帮助改善帕金森疾病患者的分子机制
发表时间:2022-01-19
点击数:225
近日,一篇发表在国际杂志Nature Communications上题为“Structural mechanism for tyrosine hydroxylase inhibition by dopamine and reactivation by Ser40 phosphorylation”的研究报告中,来自西班牙的科学家们通过研究深入理解了多巴胺的合成是如何在大脑中被调节的,相关研究结果或有望帮助阐明诸如帕金森等疾病发生背后的分子机制。
脂肪在2型糖尿病的发病过程中或会带来意想不到的好处
发表时间:2022-01-19
点击数:353
近日,一篇发表在国际杂志Diabetologia上题为“Glucolipotoxicity promotes the capacity of the glycerolipid/NEFA cycle supporting the secretory response of pancreatic beta cells”的研究报告中,来自日内瓦大学医学中心等机构的科学家们通过对产生胰岛素的胰腺β细胞进行研究后发现,当这些细胞此前接触过脂肪时,其或许受过量糖分的影响较小;而通过调查其中所涉及的细胞机制,研究人员揭示了脂肪储存和动员的循环是如何促进细胞适应过量糖分的,相关研究结果强调了一种意想不到的机制,其或有望帮助研究人员开发减缓2型糖尿病发病或开端的新型疗法。
谈谈学位论文关键词的选择方法
发表时间:2022-01-19
点击数:249
在学位论文中,关键词标引一方面从主题内容揭示文献、描述文献的内容特征,反映作者的观点,使读者在未看论文的文摘和正文之前便能一目了然地知道论文论述的主题,从而作出是否阅读正文的判断。另一方面从利用的角度出发,满足读者从主题内容去检索文献的特定需求,把作者与读者有机联系在一起。下面,医思倍研究院结合经验,谈谈学位论文关键词的选择方法。