科学家发现一种能预测人类心血管疾病的细胞行为模式
发表时间:2022-01-18
点击数:275
近日,一篇发表在国际杂志Nature上题为“Behavioural immune landscapes of inflammation”的研究报告中,来自西班牙的科学家们通过研究发现,免疫系统的循环中性粒细胞火灾炎性过程中会获得不同的行为模式,相关研究识别出了与人类心血管疾病相关的有害中性粒细胞行为。同时本文研究提供了重要的信息,或能帮助开发新型疗法尽可能减少心肌梗塞所带来的后果。
揭示细菌脂多糖预防或促进人类哮喘症和过敏性疾病发生的分子机制
发表时间:2022-01-18
点击数:336
近日,一篇发表在国际杂志Cell Reports上题为“GM-CSF production by non-classical monocytes controls antagonistic LPS-driven functions in allergic inflammation”的研究报告中,来自阿拉巴马大学等机构的科学家们通过研究发现,LPS促进或预防机体的过敏性反应关键在于过敏原本身。
瑞拉利单抗和纳武单抗联合疗法或能改善转移性黑色素瘤患者的无进展生存期
发表时间:2022-01-18
点击数:426
近日,一篇发表在国际杂志New England Journal of Medicine上题为“Relatlimab and Nivolumab versus Nivolumab in Untreated Advanced Melanoma”的研究报告中,来自德克萨斯大学MD安德森癌症研究中心等机构的科学家们发布了其进行II/III期RELATIVITY-047临床试验的结果,他们发现,在未经治疗的晚期黑色素瘤患者中,免疫检查点抑制剂瑞拉利单抗(relatlimab)和纳武单抗(nivolumab)的联合治疗要比纳武单抗单药治疗让患者的无进展生存期受益增加一倍,且安全状况可控。
提高学位论文关键词标引质量的经验分享
发表时间:2022-01-18
点击数:399
学位论文关键词的标引工作,是一项艰苦复杂的脑力劳动过程。一般而言,合理使用关键词作为主题词的补充进行标引,可以进一步加强标引深度、提高数据质量,适应读者检索的需要,在读者与作者之间搭建起一座桥梁,充分发挥学位论文的科学研究价值,使之更好地为读者服务。下面,医思倍研究院分享一些提高学位论文关键词标引质量的经验。
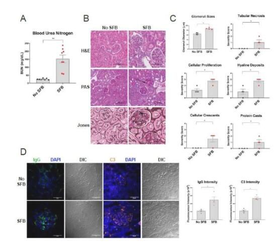
在肠道菌群中引入特殊的分节丝状菌或会对小鼠的狼疮性肾炎产生不利影响
发表时间:2022-01-17
点击数:298
近日,一篇发表在国际杂志Scientific Reports上题为“Gut dysbiosis is associated with acceleration of lupus nephritis”的研究报告中,来自俄亥俄州立大学等机构的科学家们通过研究发现,将名为分节丝状菌(SFB,segmented filamentous bacteria)的单一细菌引入到肠道微生物群后会对小鼠机体的狼疮性肾炎产生不利影响。
可持续性的饮食方式或会降低机体大脑出血和脑血栓发生的风险
发表时间:2022-01-17
点击数:250
近日,一篇发表在国际杂志Stroke上题为“Adherence to the EAT-Lancet Diet and Risk of Stroke and Stroke Subtypes: A Cohort Study”的研究报告中,来自奥胡斯大学等机构的科学家们通过研究发现,可持续性的饮食或会导致机体更少的脑血栓形成,即如果你的日常饮食是可持续的,那么机体大脑出血或血栓产生的风险就会明显降低。
一种自身免疫性疾病或会诱发另一种自身免疫性疾病
发表时间:2022-01-17
点击数:303
近日,一篇发表在国际杂志Immune Network上题为“A Potential New Mouse Model of Axial Spondyloarthritis Involving the Complement System”的研究报告中,来自科罗拉多大学等机构的科学家们通过研究发现,患有一种自身免疫性疾病或会导致另外一种疾病的发生。科学家们偶然间发现,患有抗体诱导的类风湿性关节炎的小鼠的关节会继续发展处于AxSpA小鼠类似的脊柱病变,AxSpA会导致机体脊椎融合和脊柱弯曲等病理学表现。
连续5年摄入高剂量的维生素D补充剂或许并不会降低人群患心血管疾病或癌症的风险
发表时间:2022-01-17
点击数:322
近日,一篇发表在国际杂志The American Journal of Clinical Nutrition上题为“Vitamin D supplementation and prevention of cardiovascular disease and cancer in the Finnish Vitamin D Trial—a randomized controlled trial”的研究报告中,来自东芬兰大学等机构的科学家们通过研究发现,连续5年服用比推荐剂量高得多的维生素D或许并不会影响老年男性和女性的总体死亡率和心血管疾病或癌症的发病率。
嚼嚼含有ACE2蛋白的口香糖有望减少SARS-CoV-2传播
发表时间:2022-01-14
点击数:312
在一项新的研究中,来自美国宾夕法尼亚大学和威斯达研究所的研究人员发现一种掺有植物产生的蛋白的口香糖可以用作捕获SARS-CoV-2病毒的诱饵,减少唾液中的病毒载量,并有可能抑制传播。这一发现可能会在对抗COVID-19大流行病的武器库中产生一种低成本的工具。相关研究结果近期发表在Molecular Therapy期刊上,论文标题为“Debulking SARS-CoV-2 in saliva using angiotensin converting enzyme 2 in chewing gum to decrease oral virus transmission and infection”。
揭示朊蛋白病中脑细胞死亡机制
发表时间:2022-01-14
点击数:369
在一项新的研究中,来自美国斯克里普斯研究所的研究人员指出PrP聚集物通过损害神经元的轴突来杀死它们,其中轴突是狭窄的神经纤维,神经元通过轴突向其他神经元发送信号。相关研究结果近期发表在Science Advances期刊上,论文标题为“Endosomal sorting drives the formation of axonal prion protein endoggresomes”。